June 11, 2025 — To prepare healthcare workforces and providers for an AI-driven future, Qure.ai has expanded its Global ...
June 10, 2025 — CIVIE has announced the official launch of RadPod, an AI-driven, on-demand radiology platform designed ...
June 4, 2025 — RadNet, Inc., a provider of high-quality, cost-effective diagnostic imaging services and digital health ...
Radiology departments have many different needs and face a wide variety of challenges that can impact their departments ...
June 9, 2025 — A new independent, peer-reviewed study published in the journal Clinical Breast Cancer reinforces the ...
May 27, 2025 — A new study from Mount Sinai's Department of Radiation Oncology reveals that most new radiation ...
June 5, 2025 — Hand-blown x-ray tubes dating back to 1897, a 1916 mechanical rectifier that delivered a high-voltage ...
Despite decades of progress in breast imaging, one challenge continues to test even the most skilled radiologists ...
As scientists working in a range of life science and applied industrial applications seek deeper insights into complex ...
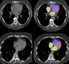
June 05, 2025 — Nano-X Imaging Ltd. has announced that its deep-learning medical imaging analytics subsidiary, Nanox AI ...
June 5, 2025 – Artera, the developer of multimodal artificial intelligence (MMAI)-based prognostic and predictive cancer ...
Bayer Radiology’s Barbara Ruhland and Thom Kinst discuss how radiology departments can address the many different ...
June 2, 2025 — Clairity, Inc., a digital health innovator advancing AI-driven healthcare solutions, has received U.S ...
May 30, 2025 — GE HealthCare recently announced that the NCCN Clinical Practice Guidelines in Oncology (NCCN Guidelines) ...
May 29, 2025 — Hyperfine, Inc., producer of the world’s first FDA-cleared AI-powered portable MRI system for the brain — ...
eHealth Saskatchewan plays a vital role in providing IT services to patients, health care providers, and partners such ...
May 27, 2025 — DeepLook Medical, a company advancing medical imaging through visual enhancement technology, recently ...
May 20, 2025 — Royal Philips has launched the RADIQAL (Radiation Dose and Image Quality Trial) trial. This multicenter ...
May 20, 2025 – Intelerad, a provider of medical imaging software solutions, recently announced its prime partnership ...
May 21, 2025 — Konica Minolta Healthcare Americas, Inc and NewVue have announced the introduction of Exa Teleradiology ...
May 13, 2025-- GE HealthCare recently announced the U.S. Food and Drug Administration (FDA) has approved a pediatric ...
May 19, 2025 - Arineta, a provider of cardiovascular imaging solutions, recently announced that its SpotLight Duo ...
May 15, 2025 – Royal Philips, a global leader in health technology, has released its 10th annual Future Health Index ...
May 14, 2025 – Bialogics Analytics Inc., a leader in radiology informatics, has introduced its new AI solution AI ...
June 11, 2025 